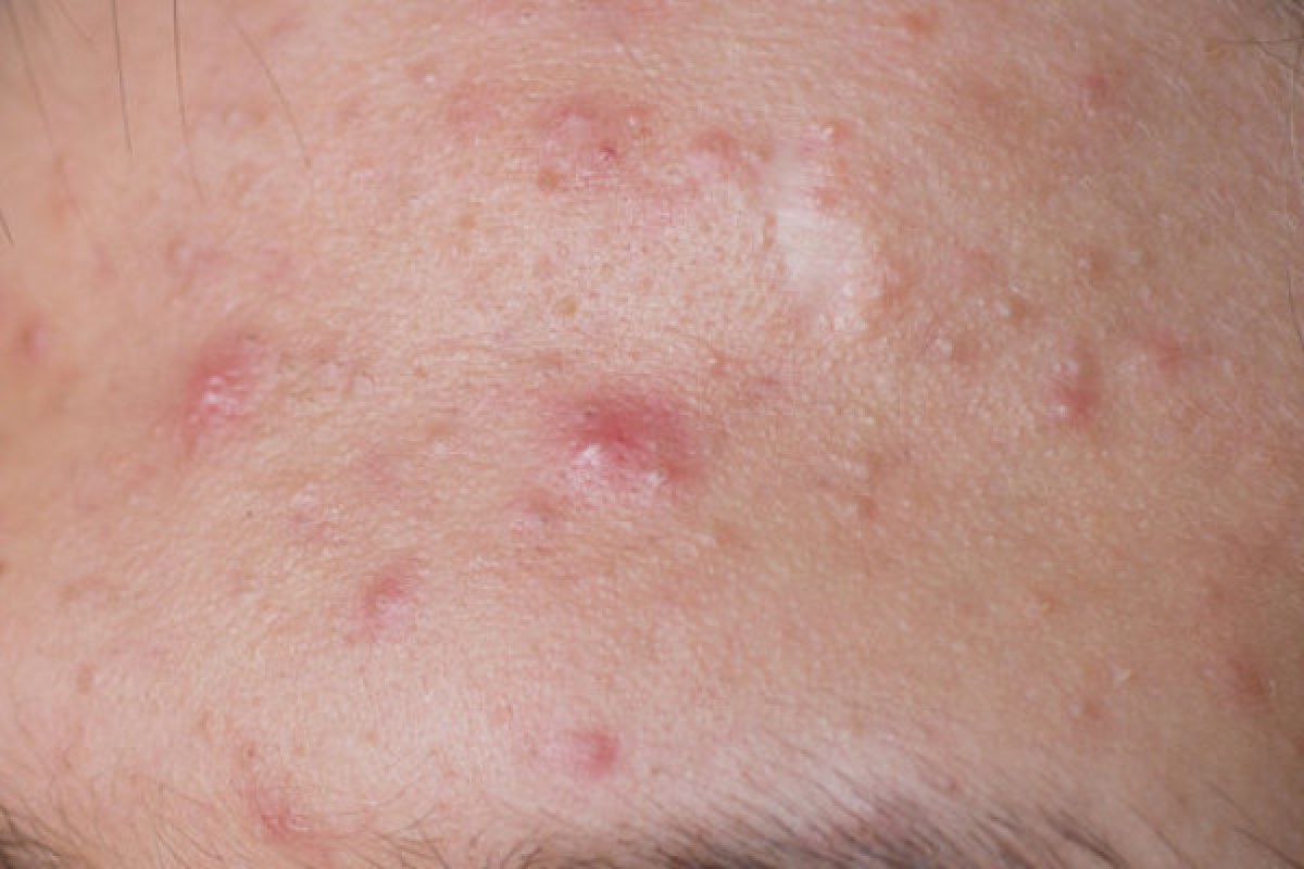
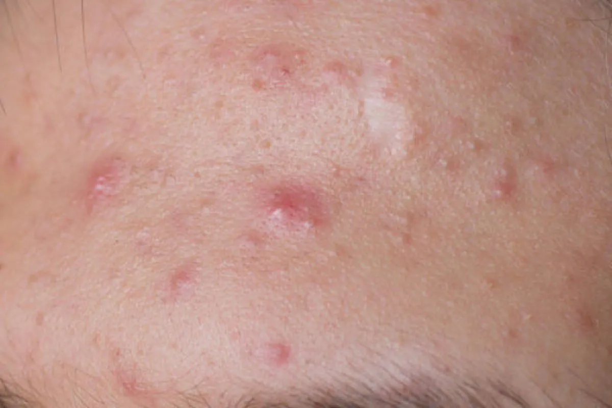
Jakarta (Antaranews Kalteng) - Tetap terjaga di tengah malam tak hanya dapat membuat anda kurang tidur dan menurunkan stamina anda, tetapi juga dapat memicu dan menimbulkan jerawat. Benarkah?
Tidur larut malam terkait dengan jerawat secara tidak langsung . Belum ada bukti yang jelas yang menunjukan bahwa kurang tidur itu secara langsung terkait munculnya jerawat. Meski begitu, penelitian mengungkapkan secara tidak langsung, kekurangan tidur menyebabkan dan memperburuk jerawat yang sudah ada.
Ketika sering tidur larut malam, hal itu berarti bahwa anda mengurangi jumlah waktu tidur yang anda butuhkan untuk meremajakan tubuh.
Baca juga: Tahukan Anda Konsumsi Makanan Manis Berlebihan Picu Jerawat, Ini Penjelasan Ahli
Seperti dikutip dari Livestrong and Buzzle, kurang tidur bisa menyebabkan stress, meningkatkan kekebalan terhadap insulin dan depresi.
Stres merupakan faktor penting yang dapat menyebabkan jerawat. Meningkatnya stres dapat menstimulasi kelenjar adrenalin yang bertugas untuk memproduksi androgen.
Pengeluaran dari hormon ini di tubuh memicu pembentukan jerawat. Stres juga berdampak pada sistem kekebalan, sehingga hal itu dapat memperlambat penyembuhan jerawat.
Baca juga: Salah Besar Anggapan Kulit Kering Bebas Jerawat, Ini Penjelasannya
Kekurangan tidur menghasilkan inflamasi sistemik. Laporan dari Journal of Clinical Endocrinology and Metabolism, menyatakan kurang tidur menyebabkan peningkatan dalam inflamasi.
Perluasan kandungan di dalam tubuh meningkatkan kecenderungan untuk menghasilkan inflamasi. Jerawat merupakan sebuah proses penggembungan dari pori-pori di kulit. Inflamasi jadi pemicunya karena peningkatan jumlah bahan-bahan sitokin di dalam tubuh.
Kekurangan tidur meningkatkan kekebalan terhadap insulin. Mereka memaksa tubuh untuk memproduksi insulin secara berlebihan. Hal ini menyebabkan produksi dari sebum (minyak), meningkatkan inflamasi yang menyebabkan potensi pembentukan jerawat.
Tidur larut malam juga menyebabkan perubahan kerangka mental dan emosional yang dapat menyebabkan depresi.
Depresi menciptakan sikap negatif di pikiran.
